咦!这位患者的肚子里长了一个“蛋”
时间:2016-08-31 浏览量:次 来源:自贡市精神卫生中心 作者:
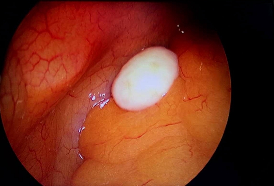
近日,我院外科在对一位患者施行经腹腔镜行阑尾切除术时,发现该患者腹腔内有一个白色的“蛋”。
术中,在腹腔镜下,医生清晰地看见“蛋”成椭圆形,在腹腔内可以自由滚动,腹腔镜钳夹之不能破裂,具有一定的韧性,取出后大小约1.5cm×2cm,与腹腔任何组织无粘连,表面光滑,手触质地稍软,有弹性。
据外科主任陈元怀介绍,这个蛋形的物体是肠脂垂,主要是沿结肠带两侧分布的,由浆膜及其所包含的脂肪组织构成的许多小突起状物,由于缺血和坏死脱落后,依靠腹腔内液体营养包裹生长而形成的腹腔游离体,所以看起来像是一个蛋,会随着人体体位变化而滚动。该病发病率很低,在我院也是首例,一般情况下对患者的工作和生活不产生影响,但不断长大就会压迫膀胱或肠管,产生尿频或肠梗阻症状,或继发肠脂垂炎,所以一旦发现应及时取出,防止变性。
相关推荐
-
以专业赴千里之约,用温暖护心灵健康|我院跨省公益服务获致谢
时间:2026-03-26 浏览量:次
-
自贡市精神卫生中心党委召开树立和践行正确政绩观学习教育动员部署会
时间:2026-03-16 浏览量:次
-
我院召开2026年党建和党风廉政建设、行风建设暨警示教育会
时间:2026-04-13 浏览量:次
-
规范专业照护 提升服务能力——我院2026年第一批四川省医疗护理员培训正式启动
时间:2026-04-13 浏览量:次
-
我院与自贡市中医医院签订战略合作协议
时间:2026-04-02 浏览量:次
-
自贡市承办第三届全国社会心理服务创新发展大会“智护银发心,共筑防护网——老年人群社会心理服务体系建设经验分享”圆桌对话会
时间:2026-04-01 浏览量:次
